Telehealth Talk
Sunday, January 10, 2016
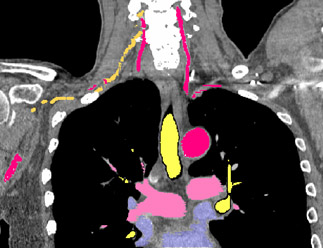
3D Printing in Thoracic, Congenital, and Cardiac Surgery
via Internet Medicine Digital Healthcare http://ift.tt/1RgbUSZ telehealthsuppliers.com
No comments:
Post a Comment
Newer Post
Older Post
Home
Subscribe to:
Post Comments (Atom)
No comments:
Post a Comment